Tooth Color Filling in Noida
Fact: Hearing that you need a dental filling usually brings more questions than discomfort.
“Will it look natural?”
“Will it hurt?”
“How long will it last?”
These are common thoughts, and they are completely valid. If your dentist has advised a tooth color filling in Noida at The Dental Port Advance Dental and Implant Center, this guide answers the questions patients actually ask, in simple and clear language.

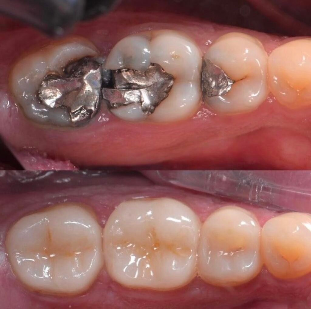
What Is a Tooth Colored Filling?
A tooth colored filling is a dental treatment used to repair cavities or small areas of tooth damage using a material that closely matches the natural shade of your tooth.
In simple words, it repairs the tooth without making the filling noticeable.
Dentists commonly recommend tooth colored fillings because:
- They restore strength and function
- They blend naturally with your teeth
- They are suitable for both front and back teeth
This makes tooth color fillings a preferred option for patients who want a clean, natural looking and reliable solution.
When Is a Tooth Colored Filling Usually Recommended?
| Dental Situation | Tooth Colored Filling |
|---|---|
| Small cavity | Suitable |
| Medium cavity | Suitable |
| Front teeth | Suitable |
| Back teeth with limited damage | Suitable |
| Deep or extensive damage | Another option may be advised |
A proper examination helps determine whether a filling is the safest and most effective choice for your tooth.
Is the Tooth Colored Filling Procedure Painful?
No, the procedure is usually comfortable.
Most tooth colored fillings are done for shallow or moderate cavities. In such cases, patients usually feel only mild pressure while the tooth is being cleaned and restored. Many fillings do not even require anaesthesia.
If the cavity is deeper or the tooth is sensitive, local anaesthesia may be used to ensure comfort. This is decided based on the tooth condition, not as a routine step.
After the procedure, you may notice:
- Mild sensitivity to hot or cold for a short time
- Normal chewing within a few hours
- A brief adjustment period as the tooth settles
In most cases, the treatment is much easier than people expect.
Is a Tooth Colored Filling the Right Option for My Tooth?
In many cases, yes.
Tooth colored fillings work best when cavities are detected early and the tooth still has enough healthy structure. They seal the cavity well and help protect the tooth from further damage.
However, if a cavity is very deep or the tooth has become weak, a filling alone may not provide enough long term support. In such situations, your dentist may suggest another treatment option.
The decision mainly depends on:
- The size of the cavity
- The overall strength of the tooth
Once these factors are evaluated, the right treatment choice becomes clearer and easier to understand.
Will a Tooth Colored Filling Be Visible When I Smile?
No. A well placed tooth colored filling blends naturally with your tooth.
The material is shade matched carefully and polished to match the surrounding enamel. Even on front teeth, the filling is difficult to notice unless someone is closely examining your smile.
The goal is simple. Repair the tooth without drawing attention to it.
How Much Does a Tooth Filling Cost in Noida?
Patients often ask about the cost because they want clarity and fairness, not surprises.
The cost of a tooth colored filling in Noida depends on several factors:
- Which tooth needs treatment
- The size and depth of the cavity
- The type of filling material required
- The time and care involved in the procedure
This is why online prices can feel confusing. Without examining the tooth, it is not possible to give an accurate estimate. A clinical evaluation helps explain both the treatment plan and the cost clearly.
How Long Does a Tooth Colored Filling Last?
Tooth colored fillings are designed to last for many years when maintained properly.
Their longevity depends on:
- Chewing pressure on the tooth
- Oral hygiene habits
- Teeth grinding or clenching
In dental terms, permanent means long lasting and dependable with proper care, not something that never needs review. Regular dental check ups help ensure the filling stays in good condition.
How Is the Final Cost Decided at The Dental Port?
The final cost is decided only after a thorough dental examination.
Before recommending a filling, we assess:
- How much of the tooth is affected
- The position and function of the tooth
- The most suitable filling material for that tooth
At The Dental Port Advance Dental and Implant Center Noida, every step is explained before treatment begins. When patients understand the reason behind a recommendation, decisions feel calm and informed.
Thinking About a Tooth Colored Filling in Noida?
If you are considering a tooth color filling in Noida, clear information always helps more than assumptions. Understanding your tooth condition, treatment options, and expected outcomes makes the process simpler and stress free.
At The Dental Port, we believe dental care should begin with a conversation. We take time to explain what your tooth needs, the available options, and why a particular treatment is suggested before starting any procedure.
Ask your questions. Take your time.
For consultation or appointment booking, contact:
📞 +91 9355333956, +91 7836983698
The Dental Port Advance Dental and Implant Center Noida
Here to guide you with clarity, care, and transparency.
