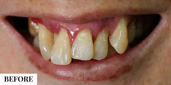
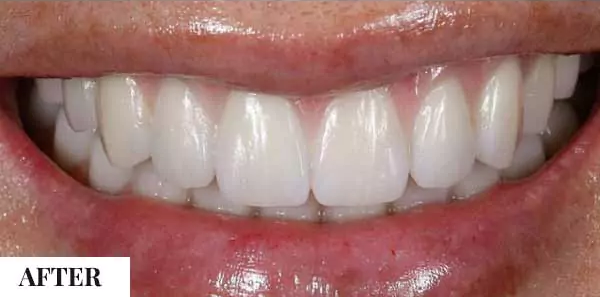
Clear aligners in Noida at The Dental Port provide a comfortable and nearly invisible way to straighten your teeth without traditional braces. Using advanced digital scans and customized treatment planning, our aligners correct gaps, crowding, and bite issues with precision and care.
Our expert dental team ensures a personalized approach, allowing you to remove aligners while eating or brushing. With predictable results, minimal discomfort, and modern orthodontic technology, The Dental Port helps you achieve a confident, perfectly aligned smile.


















