
Dental Implants in Noida
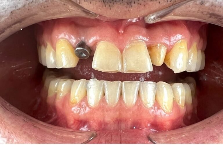
At The Dental Port, dental implants in Noida offer a permanent, natural-looking solution for missing teeth. Using advanced implant technology and precision planning, our specialists restore function, comfort, and confidence. Each implant is custom-designed to blend seamlessly with your smile, ensuring long-lasting results and improved oral health.
Key Advantages
- Fixed teeth that do not slip or move
- Improved chewing and speech
- Natural appearance and facial support
- No need to remove dentures daily
- Long-lasting and reliable solution

Zygomatic Implants
Zygomatic implants at The Dental Port are ideal for patients with severe bone loss who were previously told implants weren’t possible. Anchored in the cheekbone, these advanced implants eliminate the need for bone grafting, offering faster treatment and secure full-arch restoration.
Read more
All-on-X Implants
All-on-X treatment replaces an entire arch of teeth using a few strategically placed implants. This solution offers natural aesthetics, fewer surgeries, quicker recovery, and a fixed, confident smile.
Read more
Immediate Loading Implants
Immediate loading implants allow functional teeth placement on the same day as surgery. This technique restores chewing ability quickly while maintaining stability and precision.
Read moreInstant Dental Consultation on WhatsApp
Need help quickly? Chat with our specialists for fast guidance and appointment support.
How Dental Implants Work
Dental implants offer a fixed full-mouth tooth replacement using just four strategically placed implants per jaw. This advanced technique restores function, aesthetics, and confidence with faster recovery and long-lasting results.
Benefits of Dental Implants
Step-by-Step Treatment Process
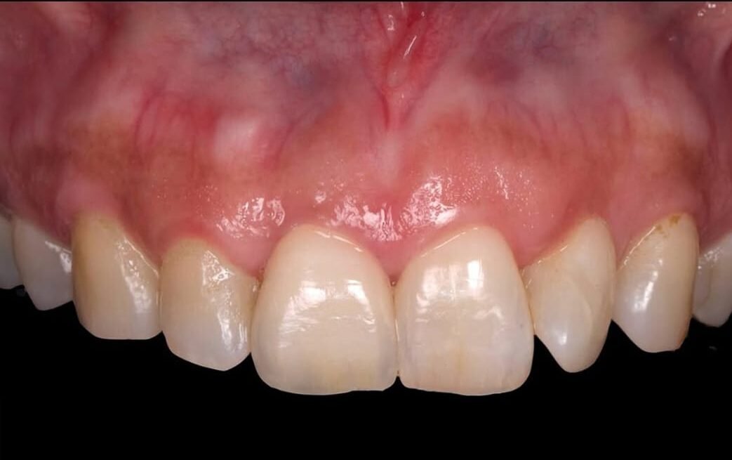
Results you can trust
Experience a clear difference before and after treatment at The Dental Port. Our expert team combines advanced technology and personalized care to transform your smile with precision. From improved oral health to enhanced confidence, we deliver predictable, long-lasting results you can truly rely on.




Our Clients
I recently visited Dental Port with severe tooth pain after arriving from abroad, and I cannot thank Dr Suresh and Dr Purnima enough for their outstanding care and professionalism.
Dr Suresh promptly accommodated me despite his busy schedule, and his diagnostic precision was extraordinary. He suspected a hidden infection and foreign material just through clinical examination, which was later confirmed via CBCT — something that had gone undetected for over 5 years despite regular checkups elsewhere.
Dr Purnima then took over with the goal of saving the tooth through an RCT. Her expertise and gentle approach were truly remarkable. Having undergone multiple RCTs before, I was amazed at how pain-free and comfortable this one was. She worked tirelessly to reach the infected area and remove the particle, keeping me informed throughout. When extraction became necessary, both doctors explained everything clearly and compassionately.
Dr Suresh once again went above and beyond, scheduling the extraction and titanium implant the very next day. His planning was meticulous — from bone grafting and laser treatment to the final implant placement — all executed with precision and care. The entire process took just two sessions of a couple of hours each, and I was back to enjoying ice creams and shakes within hours.
What truly stood out:
- Unparalleled diagnostic skill — Dr Suresh identified the root cause that had been missed for years.
- Expert RCT execution — Dr Purnima’s technique was both effective and pain-free.
- Clear, continuous communication — I was kept informed at every step.
- Structured treatment plan — Dr Suresh’s roadmap was followed flawlessly.
- Patient comfort as a priority — Pain management exceeded expectations.
- Post-care support — Both doctors were available on WhatsApp for any concerns.
It’s been 15 days now, and I’m completely pain-free and back to normal eating. I’m deeply grateful to Dr Suresh and Dr Purnima for their care, expertise, and kindness.
I would definitely recommend Dental Port .
I got my dental implants and smile correction done at Dental Port in May this year, and I couldn’t be happier with the results! The entire experience was extremely smooth and completely painless. Doctot explained every step of the procedure in detail, which made me feel very comfortable and confident throughout.
The doctors and staff are highly skilled, caring, and professional. My implants look and feel perfect, and I’m thrilled with my new smile—it’s given me a huge boost in confidence!
Even for my kid's dental checkups, I always go to The Dental Port.
Highly recommended for kids as well 👍
I recommend Dental Port for anyone looking for top-notch dental care.
Definitely a 5-star experience! 🌟
Highly recommdation


If you are looking for trusted dentist in Noida for Dental Implants ,I highly recommend THE DENTAL PORT.
Appointments










