
Dental Fillings
Dental fillings are a quick and effective way to repair cavities and restore tooth strength. At The Dental Port, we gently remove decay and use advanced techniques to protect your oral health.
Our tooth-colored fillings match your natural teeth, providing a seamless and durable result. The procedure is comfortable, minimally invasive, and focused on preserving your natural tooth structure.
With high-quality materials and expert care, our dental fillings help prevent further decay, reduce sensitivity, and improve chewing comfort. Trust The Dental Port for safe, long-lasting, and natural-looking cavity treatment.
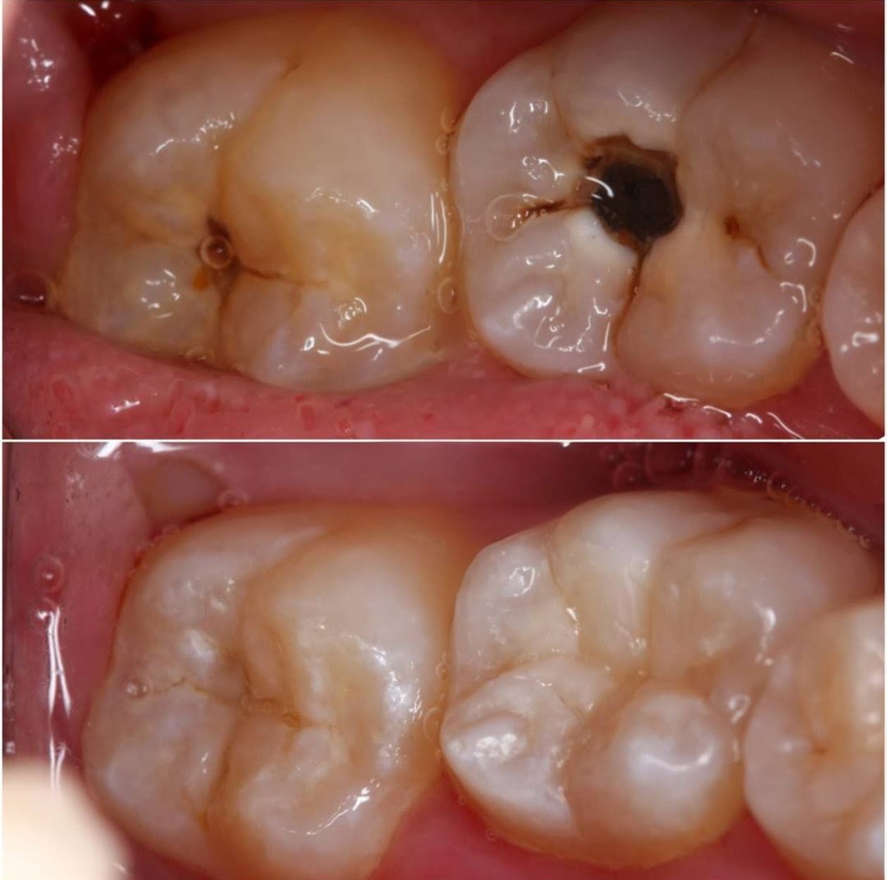
Results you can trust
Experience a clear difference before and after treatment at The Dental Port. Our expert team combines advanced technology and personalized care to transform your smile with precision. From improved oral health to enhanced confidence, we deliver predictable, long-lasting results you can truly rely on.




Our Clients
I recently visited Dental Port with severe tooth pain after arriving from abroad, and I cannot thank Dr Suresh and Dr Purnima enough for their outstanding care and professionalism.
Dr Suresh promptly accommodated me despite his busy schedule, and his diagnostic precision was extraordinary. He suspected a hidden infection and foreign material just through clinical examination, which was later confirmed via CBCT — something that had gone undetected for over 5 years despite regular checkups elsewhere.
Dr Purnima then took over with the goal of saving the tooth through an RCT. Her expertise and gentle approach were truly remarkable. Having undergone multiple RCTs before, I was amazed at how pain-free and comfortable this one was. She worked tirelessly to reach the infected area and remove the particle, keeping me informed throughout. When extraction became necessary, both doctors explained everything clearly and compassionately.
Dr Suresh once again went above and beyond, scheduling the extraction and titanium implant the very next day. His planning was meticulous — from bone grafting and laser treatment to the final implant placement — all executed with precision and care. The entire process took just two sessions of a couple of hours each, and I was back to enjoying ice creams and shakes within hours.
What truly stood out:
- Unparalleled diagnostic skill — Dr Suresh identified the root cause that had been missed for years.
- Expert RCT execution — Dr Purnima’s technique was both effective and pain-free.
- Clear, continuous communication — I was kept informed at every step.
- Structured treatment plan — Dr Suresh’s roadmap was followed flawlessly.
- Patient comfort as a priority — Pain management exceeded expectations.
- Post-care support — Both doctors were available on WhatsApp for any concerns.
It’s been 15 days now, and I’m completely pain-free and back to normal eating. I’m deeply grateful to Dr Suresh and Dr Purnima for their care, expertise, and kindness.
I would definitely recommend Dental Port .
I got my dental implants and smile correction done at Dental Port in May this year, and I couldn’t be happier with the results! The entire experience was extremely smooth and completely painless. Doctot explained every step of the procedure in detail, which made me feel very comfortable and confident throughout.
The doctors and staff are highly skilled, caring, and professional. My implants look and feel perfect, and I’m thrilled with my new smile—it’s given me a huge boost in confidence!
Even for my kid's dental checkups, I always go to The Dental Port.
Highly recommended for kids as well 👍
I recommend Dental Port for anyone looking for top-notch dental care.
Definitely a 5-star experience! 🌟
Highly recommdation


If you are looking for trusted dentist in Noida for Dental Implants ,I highly recommend THE DENTAL PORT.
Appointments










